I po wszystkim. Witamy po przerwie.

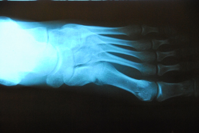
Nie obylo sie bez przygod, bo mistrzowie z peruwianskiego szpitala robiac kontrolny rentgen nie wcelowali w miejsce zlamania i fotke trzeba bylo powtorzyc. Ale najwazniejsze, ze Wasze zyczenia poskutkowaly bo noga sie zrosla ksiazkowo.

Bardzo, bardzo dziekuje za wszystkie budujace slowa!

Może Ci się również spodobać...

Dodaj komentarz

Twój adres e-mail nie zostanie opublikowany. Wymagane pola są oznaczone *